For More Information:

 
Verdun : 514-768-5060

3954a, rue Wellington

Mortons Neuroma


Morton’s Neuroma or Morton’s Syndrome is a very common neurological condition. It is considered a nerve entrapment neuropathy, causing symptoms relating to impingement of the common plantar digital and proper plantar digital nerves. A neuroma is an enlarged, benign growth of nerves, most commonly between the third and fourth toes. Neuromas are caused by tissue rubbing against and irritating the nerves. This problem mostly affects women aged 50 years old or more.

Morton's neuroma is a thickening of tissues around the nerve that leads to the toes. Morton's neuroma usually develops between the third and fourth toes in response to irritation, such as that caused by wearing high-heeled or narrow shoes, or from trauma. The pain can be quite intense, and the patient frequently needs to remove their shoes to massage the area. Sometimes the pain feels like an electric shock shooting into the toes.

If conservative methods and custom-made orthotic insoles do not relieve the symptoms the problem can be managed surgically. There are many types of procedures depending on the severity. A decompression procedure can be performed through a minimal excision to relieve the pressure being exerted on the neuroma. In some cases when the neuroma is quite large total excision may be necessary. Recovery times for these procedures is generally between 1 and 2 weeks.

Foot pain is never normal. It is always best to consult a reputable and devoted Podiatrist.

Rapid Appointments, No Medical Reference Necessary, Close To You And Métro Station De L'Église.

Make An Appointment

A - Separation

Surgery For Painful Corns

D - Cauterization

Permanent Correction - Ingrown Toenail

Mortons Neuroma

Hammertoe is a condition in which the toe is bent in a claw-like position. It occurs most frequently with the second toe, often when a bunion slants the big toe toward it and under it, but any of the other three smaller toes can be affected. Although the condition usually stems from muscle imbalance, is often aggravated by ill-fitting shoes or socks that cramp the toes.

A hammertoe can become red, irritated, or painful when a corn develops because of excessive friction. There are many treatments depending on the severity of the symptoms. Options include debridement or padding of the painful corn. Choosing shoes with a higher toe box can be helpful and in certain cases, custom-made orthotics can be helpful. Certain cases may require surgery if conservative treatments fail or if the deformity is too rigid. The most common procedures are tendon procedures (lengthening or transfers) or arthroplasty. The arthroplasty procedure consists of making an incision on the top of the toe and removing a piece of bone from the proximal phalanx to straighten out the toe. Healing time is about 2 weeks.

Hallux Limitus (loss of flexibility & difficulty bending the big toe)

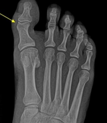
Oignon / Bunion Hallux Valgus


We practice surgery for bunions also called Hallux valgus. There exist more than one hundred different procedures for the correction of bunions. Often the procedure can be done with a minimal (very small) incision or a buried K-wire. These methods are advantageous because they are very effective, low risk, have shorter operating times and healing is more rapid. The Osteotomy (cut in the bone in the shape of a V) permits us to move the first metatarsal head giving better correction. Other bunion procedures which just remove the bump are less effective. In general bunion surgery takes about an hour to an hour and a half to perform and is performed under location anesthesia and mild sedation if necessary. The incision is frequently made on the side of the foot, which gives a better final appearance after healing.  The time for total healing is about 2 months.

B - Resection

Hallux limitus is a loss of flexibility at the first metatarsal phalangeal joint therefore it is very difficult to bend the hallux (Big toe). This is caused by arthritis which produces deposits of calcium (Exostoses or Osteophytes). Symptoms include pain and stiffness (difficulty bending the big toe without discomfort). The pain is located at the base of the big toe and is often associated with a bump on top of the joint. Treatment options include custom-made orthotic insoles, physical therapy and cortisone injections. Very often orthotics can relieve the symptoms on a long-term basis by correcting the mechanics of the foot which caused the problem. In certain cases, surgery may be necessary consisting of resecting the osteophytes to reduce pain and increase mobility in the joint. This type of procedure is called a Cheilectomy. The surgery usually takes one hour and is performed under local anesthesia. The recovery period for the surgery is usually between 3-4 weeks.

The End Of Ingrown Toenails

If ingrown toenails are making you suffer, we offer a procedure for permanent correction. It is not always necessary to consult the public health care system to remedy this problem. The correction of ingrown toenails consists of removing part or all of the matrix which is responsible for the growth of the toenail. This procedure is performed under local anesthesia and the recovery is short and quick. The patient can return to work or normal activities the next day. 

Dr Darrell Bevacqua, Podiatrist

 New York College of Podiatrique Medicine, (1990)

Résidence post doctorale , Hôpital Vétérans (V.A.M.C.), Brooklyn, NY (1991) 

B.Sc., State University of New York, (1986)

A.A., New York University, (1982)

Le Dr. Bevacqua est aussi un clinicien en podiatrie à l’Université du Québec à Trois Rivières (UQTR)

C - Removal

Bunion Surgery - Hallux Valgus



After

We have many patients who consult our clinic daily for the removal of corns in a temporary manner. These corns are recurrent and we see these patients on a regular basis. The corn is often caused by a bone spur or exostosis just under the skin. It is now possible to remove these corns permanently via a minimal incision procedure. If you have a corn on your toe or between your toes we can help you.

A 5mm incision is made on the toe and with an electric surgical burr, the exostosis is removed. The incision is closed with one or 2 sutures. Most of the time these painful corns do not return. The patient can return to work in a few days if they work sitting and usually after 2 weeks if they work standing.

Hammertoes - Claw Toes

Before